
TSA是酪胺信号放大技术(Tyramide Signal Amplification)之简称。利用基于IHC免疫组化的“一抗+<二抗-HRP>+底物”原理及步骤,TSA荧光化合物在 HRP催化下与靶点附近的酪氨酸残基结合,生成稳定荧光化合物。未被标记的酪胺分子将被洗脱,实现对抗原的特异性染色。相接的蛋白(包括 HRP,抗体,目标抗原)都含有大量的酪氨酸结合位点,目标抗原处会富集大量标记分子,因此实现信号放大。
新一代TSA技术:

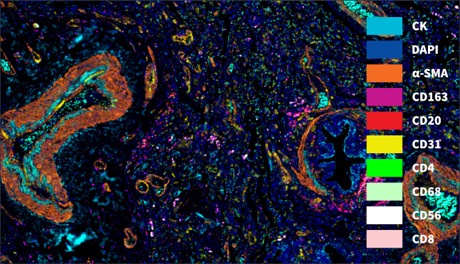
基于全新一代TSA染色技术同时标记10种生物标志物后,使用TissueFAXS Spectra系统进行连续全光谱高 倍率成像,构建全景(多光谱)虚拟切片。专业的Tissue Cytometry技术,能够获取10色独立的真实染色标志物数据,还可以去除背景自发荧光或血细 胞/胶原等自发荧光,实现 10+1色的独立通道采集。免疫微环境信号量化分析,实现AI大数据深度空间量化分析功能。以及正反向回溯数据(双向)校验机制,对大数据分析结果进行校验。
技术特点:
l 可将信号放大10-1000倍,标记弱表达靶标,节省抗体用量!
l 荧光化合物具有理想的光、热、pH稳定性,延长荧光样本保存时间,提高样本重复性。
多色荧光标记不受一抗种属限制,抗体选择更多元。
TSA技术应用特点:
l 鉴定细胞类型和功能性marker。
l 用于复杂的免疫反应研究。
l 检测检查点抑制剂。
揭示组织微环境内的空间生物学信息。

10色肠组织多色免疫荧光成像

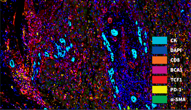
7色胰腺组织多色免疫荧光成像
应用领域:
在肿瘤微环境分析中,同时标记肿瘤细胞(如 Pan-CK)、免疫细胞(如CD8+ T细胞、CD68+巨噬细胞)及功能蛋白(如PD-L1、Ki-67)。可助力精准识别肿瘤细胞与微环境细胞相互作用,为肿瘤研究提供关键信息。于神经科学多靶点研究,共定位神经递质(如GABA、谷氨酸)、受体(如NMDA受体)及突触标记物(如 Synaptophysin)。实现多种神经标志物同时检测,助力神经机制探索,助力神经机制探索。空间转录组学中,高达10种靶标标记,提供精准组织原位验证信息,助力基因表达空间分布研究。