
技术特点:
Ø 明场、荧光双独立光路,支持40层样本扫描
Ø 延伸聚焦/ Z stack功能,可编辑每层图像或单个通道
Ø 2.5X-100X全倍率物镜扫描
Ø 兼容2倍-8倍不同(超大)尺寸玻片
Ø AI自学习可进化的对焦算法管理支持油镜
Ø 整合人类蛋白质组研究策略数据库
Ø 智能TMA block扫描识别功能
Ø IF-IHC图像互相转换功能
TissueFAXS系统将流式散点图分析技术与图像原位信息相结合,既获得了精确单细胞级别的定量数据,更深度结合组织原位的位置信息,可进行组织结构定量、组织区域筛分定量、目标蛋白或靶细胞在组织中的分布情况等定量分析,不仅提供了更全面的分析数据,也为未来的研究提出了新的解决思路和研究方向。
TissueFAXS组织原位单细胞空间表型验证定量系统结合了流式散点图分析与图像原位信息,提供单细胞级别定量数据及组织结构定量分析,支持明场和荧光双独立光路,具备Z-stack扫描和全倍率物镜扫描等功能,兼容多种玻片尺寸,具有AI自学习对焦算法和智能TMA block扫描识别功能。该系统还支持IF-IHC图像互相转换,自动识别细胞核/质/膜染色通道,并能识别上皮细胞/间质区域等结构,可用于HE染色样本的细胞-组织结构识别,提高样本分析效率和精度。同时,它具备正反向回溯功能,确保数据分析的准确性,支持细胞群圈选统计和细胞表型原位共表达分析。
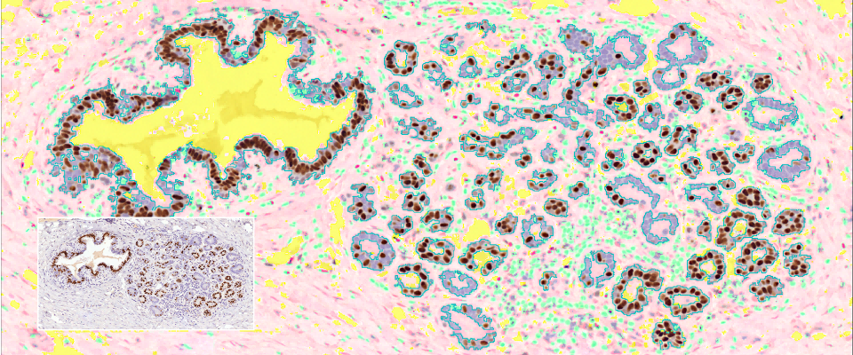
特异性组织结构的形态学识别
特异性组织区域识别解决方案,适用于明场/荧光样本。对于彩色明场样本,可自动独立细胞核/质/膜染色通道:
1. 利用苏木素/DAPI染色通道,对细胞核进行精确识别,继而定量细胞核/质/膜信号强度分布及面积形态;
2. 利用特异性染色及组织特征,识别上皮细胞/间质区域/空腔等结构,对肿瘤/腺体/胶原增生等组织类型进行识别及定量分析。
该解决方案还可用于HE染色样本的细胞-组织结构识别,使大量样本快速染色+深度分析的工作模式成为可能。
正反向回溯数据验证

组织、细胞数据分析中运用正反向回溯功能,支持从图像到数据的正向分析,也支持从数据结果到图像的反向回溯验证,将影像与分析结果紧密结合,实现数字化图像、散点图及数据间的三方面实时联动。对数据有效性进行独立重复的验证,精确衡量组织细胞信号拆分辨识结果,保证样本识别的精度、阳性率划分的阈值或是追溯阳性信号在组织中的原位信息的可靠性,更进一步帮助研究者快速定位分化干细胞等稀有细胞亚群。
细胞群圈选统计
组织流式定量分析技术赋予每个细胞多个分析参数,配合Gate和Input Gate功能,可供使用者筛选特定的感兴趣细胞亚群。利用 Gate 工具根据细胞核大小、染色强度差异能够准确筛选出有消息报,并且排除粘连细胞和细胞碎片(左侧散点图)。新建散点图仅分析有效细胞(右侧散点图),利用 Gate 可进一步将有效细胞划分成不同 marker 表达强度群体,简单实现marker 表达强度准确统计。
细胞表型原位共表达分析

细胞的共表达分析,一直是免疫荧光样本中重要却十分繁琐的步骤,尤其是多标样本的准确分析更是大家经常面临的难题,在这里TG简化分析步骤,利用流式散点图中设GATE门进行细胞筛选的分析思路,对免疫荧光样本拆分后的各通道细胞逐层设门、实时降维分析,最终得到目的细胞数量及原位分布等信息,精简而高效的分析流程,再利用反向回溯功能使共标记的目的细胞群在样本中一目了然。